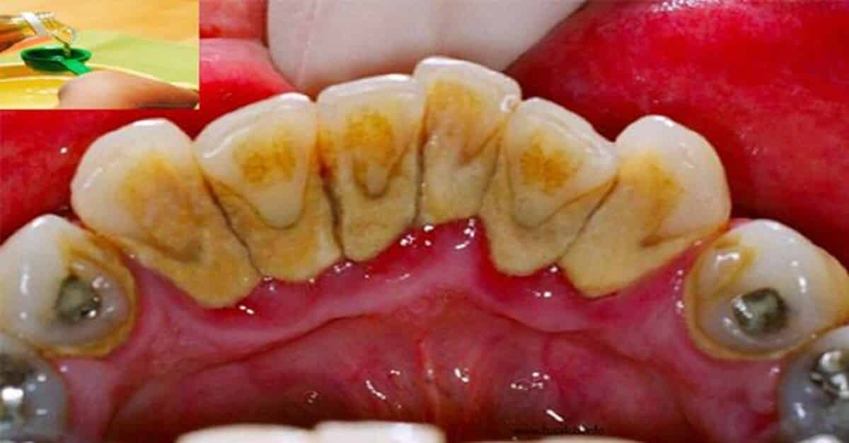
Muchas personas tienen sarro en los dientes, que es la acumulación de minerales y bacterias pudiendo causar antiestéticas manchas marrones en los dientes, así como la inflamación de las encías e incluso su sangrado. Lo mejor es prevenirlo con una higiene adecuada ya que existe el peligro de inflamación de los tejidos bucales y pérdida de dientes
Existen métodos sofisticados y, probablemente, más eficaces, pero suelen ser caros. Para quien no puede, o no quiere, permitírselo, merece la pena probar productos naturales caseros fáciles de preparar y baratos.
Hoy le traemos uno de esos métodos caseros que sólo necesita 2 ingredientes.
Ingredientes:
- Agua;
- Nueces.
Preparación:
- Hierva las cáscaras de nueces en agua durante 20 minutos, cuélela y métala en el congelador con un cepillo de dientes dentro;
- Use ese cepillo para lavarse los dientes tres veces por día, cinco minutos cada vez;
- Después lávese los dientes normalmente, con pasta de dientes.
Si puede, compre una buena pasta de dientes porque las pastas de marcas blancas no siempre protegen los dientes, especialmente si usted tiene algún problema de sensibilidad en dientes o encías.

Vea el siguiente video para aprender más sobre este tema:

