Si sueles aguantar el estornudo, ya sea por no querer hacer ruido o por creer que es una acción asquerosa, ¡debes tener cuidado con esto!
Si el cuerpo estornuda involuntariamente, algún motivo tiene para hacerlo. Normalmente, cuando tienes ganas de estornudar, significa que algún microorganismo ha causado irritación en la nariz e, inmediatamente, el cuerpo actúa para eliminarlo.
Esta es una de las razones por las que nunca debes aguantar un estornudo. Pero hay otra que es, quizás, más peligrosa para la salud.
Las personas que aguantan la nariz y la boca cuando sienten ganas de estornudar acaban dejando todo el aire atrapado dentro del cuerpo, que no es poco.
Cuando te preparas para estornudar, el pulmón se llena de aire rápidamente y lo envía a la nariz y la boca a una velocidad de 160 kilómetros por hora.
Imagínate los daños que pueden ser causados por aguantar tanto aire a esa velocidad dentro de tu sistema respiratorio. Para comprobar cuan peligroso puede ser aguantar un estornudo, mira el siguiente caso.
Hombre sufre lesiones en el cuello por aguantar un estornudo

Un inglés de 34 años fue a buscar ayuda médica cuando sintió hinchazón y dolores en el cuello, seguidos por cambios en su voz y mucha dificultad para tragar.
Cuando fue atendido, este le dijo a los médicos que había sentido un fuerte dolor en el cuello y en la garganta después de taparse la nariz y la boca para evitar un estornudo. Además, también dijo que siempre tuvo el hábito de aguantar los estornudos porque creía que era asqueroso e irrespetuoso expulsar toda aquella mucosa en el ambiente.
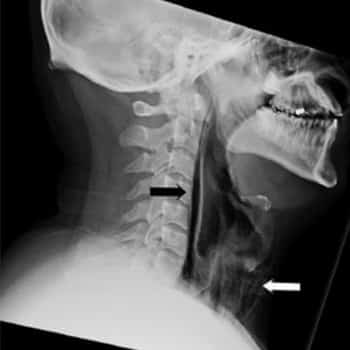
Entonces, los médicos analizaron la región hinchada y pudieron oír chasquidos. Realizaron una radiografía para saber lo que había por dentro de aquella hinchazón en el cuello y tuvieron una sorpresa: todo el espacio debajo de su barbilla estaba ocupado por el aire de los estornudos que aguantaba, como puedes observar en la imagen arriba, donde apunta la flecha blanca.
Lo que sucedió fue que todo el aire que aguantaba causó una pequeña ruptura en el tejido de la garganta y estaba entrando y causando burbujas en la musculatura de la región.
Como resultado, pasó dos semanas internado tomando antibióticos, siendo que durante la primera semana necesitó ser alimentado por un tubo.
No aguantes un estornudo
Son pocos los casos de lesión en la garganta y en el cuello que ocurren a causa de la presión de un estornudo aguantado. Pero sucede, y aún puede ser peor, causando problemas de sinusitis y hasta sordera, pues todos estos sistemas están interconectados.
Por eso, nunca aguantes un estornudo. Si estás en un ambiente silencioso o muy lleno y sientes ganas de estornudar, trata de sofocar el aire estornudando en un pañuelo o en el brazo en la parte del codo (en la ropa). Por desgracia, no hay otra solución para evitar “contaminar” el aire con un estornudo, pero tu salud está en primer lugar. Entonces, respeta las leyes de la naturaleza y deja que el estómago tenga lugar.

